KLIK DISINI UNTUK DOWNLOAD DATA PENJUALAN BARANG EXCEL>>>
Yo, check it out fam! We got some dope visualizations of the Features of Lung Cancer Dataset and CT lung data for diagnosing lung cancer. Let's dive in and see what we can learn from these images.
Features of Lung Cancer Dataset
First up, we got this lit image showcasing the features of the Lung Cancer Dataset. This data is crucial for understanding different aspects of lung cancer and how we can work towards effective diagnosis and treatment. It's crazy important to analyze these features to come up with innovative solutions for battling lung cancer in our community.
CT Lung Data for Diagnosis
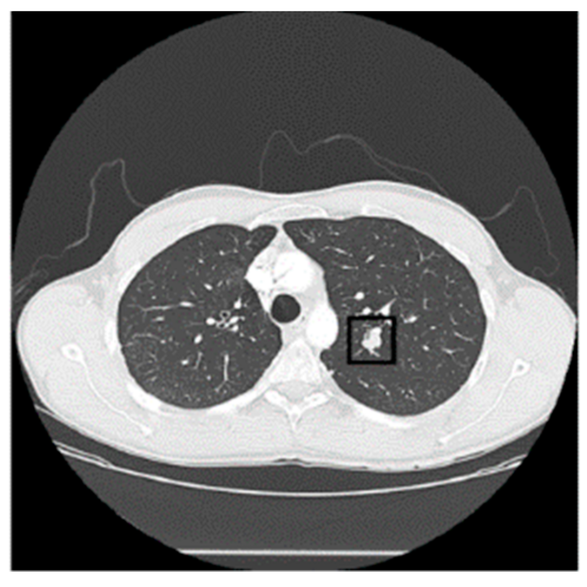
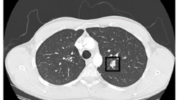
Next, we got this fresh image showing how CT lung data is used for diagnosing lung cancer. The top CT lung dataset from the LIDC database is a game-changer when it comes to making accurate diagnoses and developing personalized treatment plans. This data is like a treasure trove of insights that can help us combat lung cancer like never before.
By studying these images and understanding the data behind them, we can level up our knowledge about lung cancer and how it impacts our community. It's crucial for us to stay educated and informed so we can take proactive steps towards fighting this disease and promoting health and wellness among our people.
So keep your eyes peeled for more enlightening data visuals like these, and let's continue striving towards a healthier, stronger future for our community. Stay woke, stay informed, and let's keep pushing for progress together!
If you are looking for Luna16 Lung Cancer Dataset | Kaggle you've visit to the right place. We have 5 Pictures about Luna16 Lung Cancer Dataset | Kaggle like IQ-OTH/NCCD – Lung Cancer Dataset | Kaggle, Features of Lung Cancer Dataset | Download Scientific Diagram and also Luna16 Lung Cancer Dataset | Kaggle. Here it is:
KLIK DISINI UNTUK DOWNLOAD DATA PENJUALAN BARANG EXCEL>>>
Luna16 Lung Cancer Dataset | Kaggle
www.kaggle.com
dataset lung kaggle
KLIK DISINI UNTUK DOWNLOAD DATA PENJUALAN BARANG EXCEL>>>
IQ-OTH/NCCD – Lung Cancer Dataset | Kaggle
www.kaggle.com
KLIK DISINI UNTUK DOWNLOAD DATA PENJUALAN BARANG EXCEL>>>
NCCTG Lung Cancer Data Set – Dataset
dataset.lixoft.com
cancer lung dataset data set individual observation period start
KLIK DISINI UNTUK DOWNLOAD DATA PENJUALAN BARANG EXCEL>>>
Features Of Lung Cancer Dataset | Download Scientific Diagram
www.researchgate.net
dataset
KLIK DISINI UNTUK DOWNLOAD DATA PENJUALAN BARANG EXCEL>>>
From CT Lung Data To Lung Cancer Diagnosis. (Top) CT Lung Dataset From
www.researchgate.net
lung dataset lidc diagnosis
Ncctg lung cancer data set. Cancer lung dataset data set individual observation period start. Dataset lung kaggle
- Terungkap Cara Efektif Iklan Di Tokopedia Terbaik - June 22, 2024
- Wow! Membuat Tanda Air Di Word Wajib Kamu Ketahui - June 22, 2024
- Penting! Cara Buat Gambar Pakai Ai Terpecaya - June 22, 2024










